CASES 審美歯科の症例集

  • 左上前歯ポーセレンフルジルコニア症例

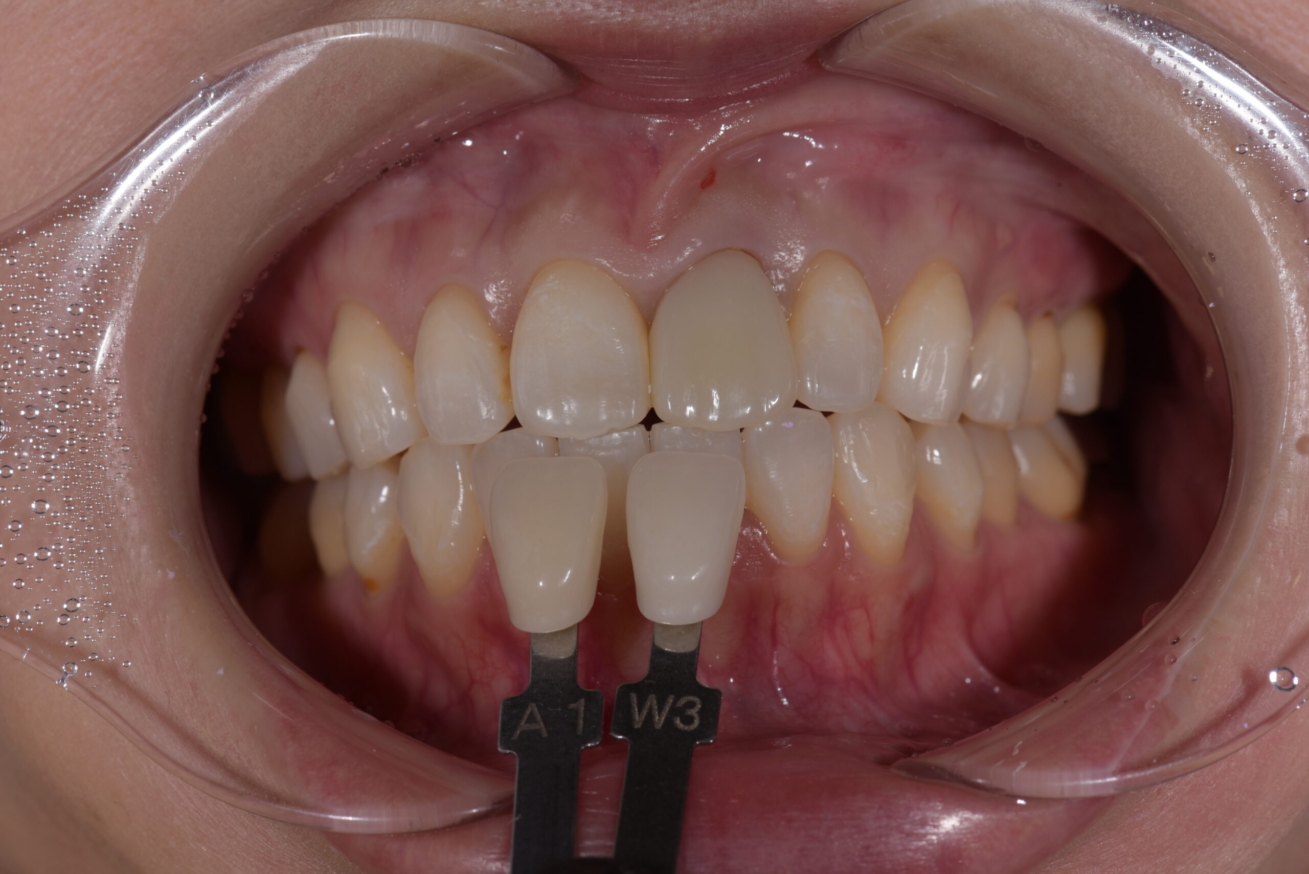
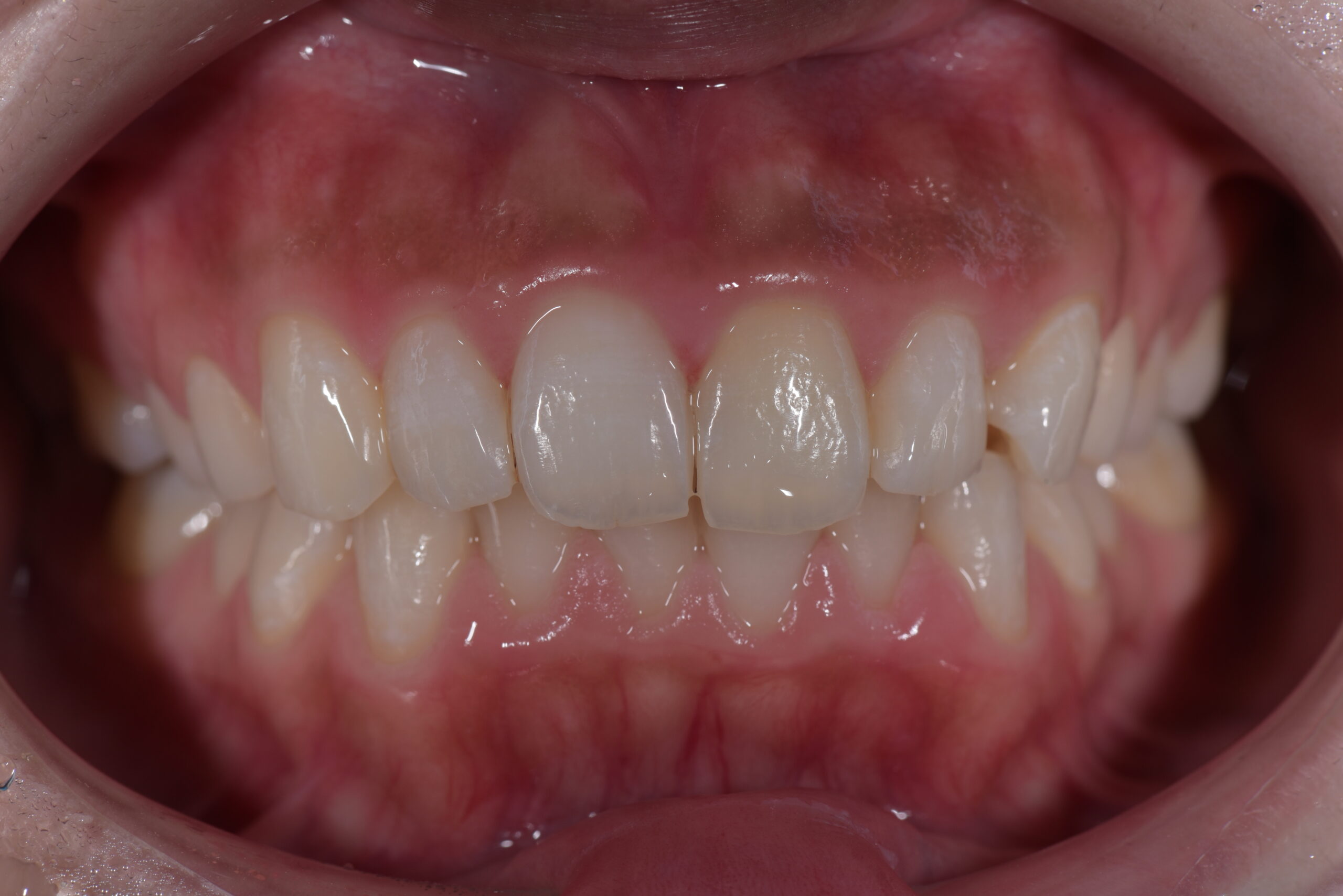
    主訴保険で入れた差し歯の変色が気になるのできれいにしたい(女性)
    治療内容左上の前歯(2番目の歯)を以前に保険治療されましたが、周囲の歯と比べると色味が気になるとの事でファイバーコア+ポーセレンフルジルコニアにて治療をしています。

    治療期間約1ヶ月

    費用総額 ¥155,000–(税別)
    リスクと副作用天然歯に比べると強い力を加えたときに欠けたり割れたりする可能性がある

    左上前歯ポーセレンフルジルコニア症例 image 1

    治療前

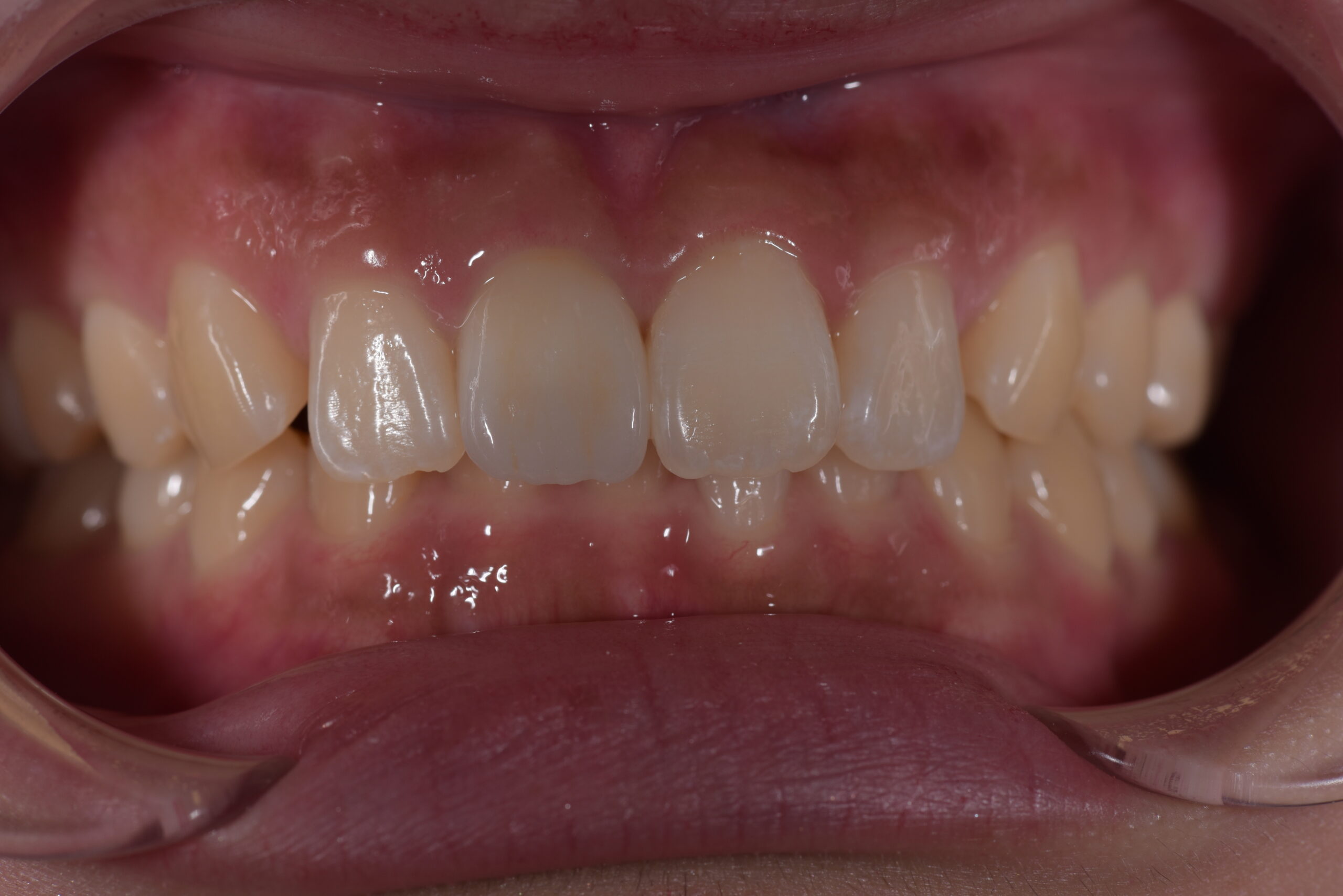
    左上前歯ポーセレンフルジルコニア症例 image 2

    形成後

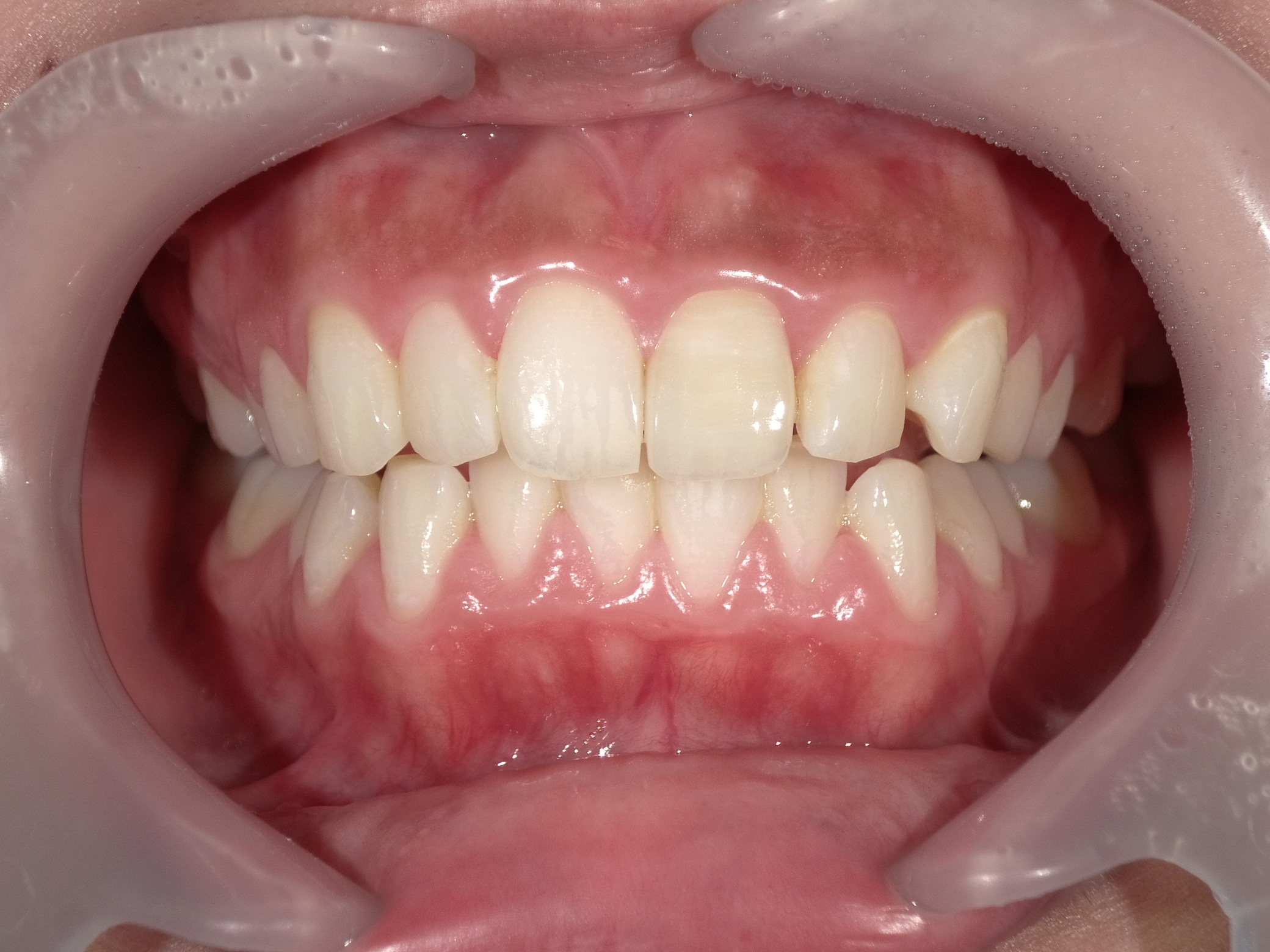
    左上前歯ポーセレンフルジルコニア症例 image 3

    治療後

    左上前歯ポーセレンフルジルコニア症例 image 1
    左上前歯ポーセレンフルジルコニア症例 image 2
    左上前歯ポーセレンフルジルコニア症例 image 3
  • 左上前歯ポーセレンフルジルコニア症例

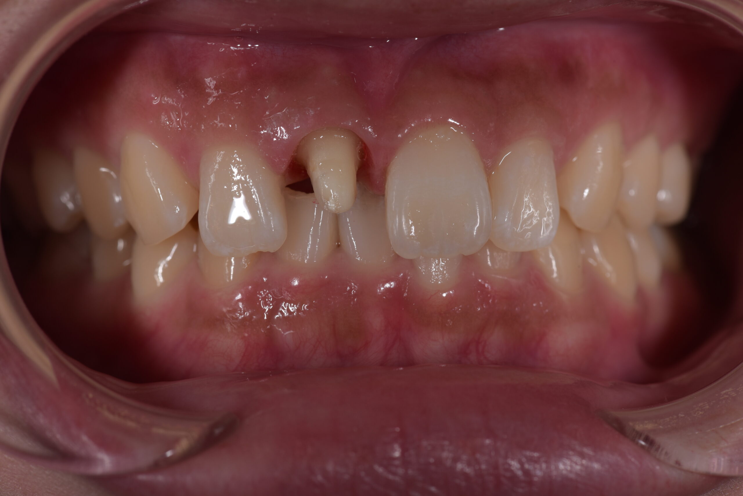
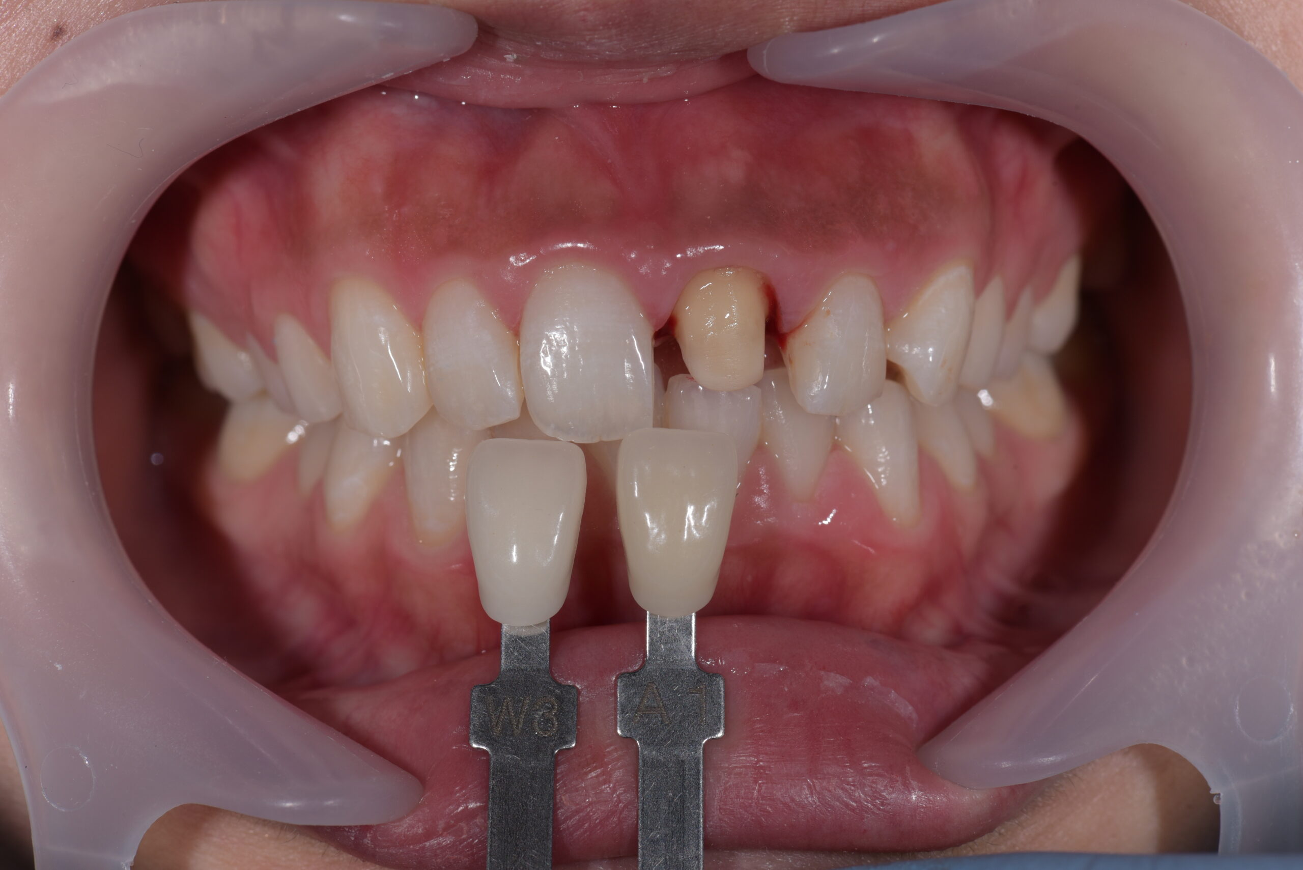
    主訴転倒により前歯が折れてしまったのできれいにしたい(女性)
    治療内容左上の1番前の前歯が転倒により歯の1/3破折で受診され、外傷のため痛みが出ないか約1ヶ月ほど経過観察後にポーセレンフルジルコニアにて治療をしています。
    治療期間約2ヶ月半
    費用総額 ¥150,000–(税別)
    リスクと副作用天然しに比べると強い力を加えたときに欠けたり割れたりする可能性がある
    左上前歯ポーセレンフルジルコニア症例 image 1

    治療前

    左上前歯ポーセレンフルジルコニア症例 image 2

    治療後

    左上前歯ポーセレンフルジルコニア症例 image 1
    左上前歯ポーセレンフルジルコニア症例 image 2
  • 左上前歯ポーセレンフルジルコニア症例

    主訴神経をとった左上の前歯をきれいにしたい(女性)
    治療内容左上の1番前の前歯を以前に神経治療され、保険で治療されましたが周囲の歯と比べると色味が気になるとの事でファイバーコア+ポーセレンフルジルコニアにて治療しています。
    治療期間約1ヶ月
    費用総額 ¥155,000–(税別)
    リスクと副作用天然歯に比べると強い力を加えたときに欠けたり割れたりする可能性がある
    左上前歯ポーセレンフルジルコニア症例 image 1

    治療前

    左上前歯ポーセレンフルジルコニア症例 image 2

    形成後

    左上前歯ポーセレンフルジルコニア症例 image 3

    治療後

    左上前歯ポーセレンフルジルコニア症例 image 1
    左上前歯ポーセレンフルジルコニア症例 image 2
    左上前歯ポーセレンフルジルコニア症例 image 3
1 2

RESERVE ご予約

草津・南草津の
白い歯デザインスタジオ ― 十禅歯科クリニック 監修 ―

  • 住所

    〒525-0058
    滋賀県草津市野路東5-25-24

  • アクセス

    JR南草津駅より近江バスで10分

  • 電話番号

    077-563-9908

  • 診療科目

    審美歯科、インプラント、一般歯科、予防歯科、小児歯科、口腔外科、義歯

  • 駐車場

診療
時間
日・
祝日
9:30~
12:30
〇 〇 〇 〇 〇 〇 ✕
14:00~
19:00
〇 〇 〇 ✕ 〇 △ ✕

※ △はPM2:30まで
※ 初診・急患随時受付けております。