“美容目的”にとどまらない
医療としての審美歯科

こんなお悩みはありませんか?
-
歯の色が
気になる -
差し歯が
気になる -
歯ならびを
きれいにしたい -
銀歯が気になる
-
すきっ歯が
気になる
十禅歯科クリニックで
全て解決できます

COSMETIC DENTISTRY 審美歯科とは
審美歯科というと“美容目的の治療”と思われることが多いかもしれませんが、実は違います。
まずは機能面の回復を行いしっかり噛めること、正しい歯並びによって清掃しやすくなること、そして再治療のリスクを減らすこと。
そうすることで長く健康な口腔環境を保てる治療を行っています。
そのうえで、見た目の美しさにもこだわります。
白く自然な歯、整った歯並びは笑顔をより明るくし、第一印象を変えてくれます。
当院の審美歯科は単なる美容ではなく、機能性と審美性の両立を目指した総合的な歯科治療です。
NEO DENTISTRY デジタルだから叶う、美しさと精密さ 次世代の審美歯科
-
FEATURE
01
精密診断から生まれる
仕上がりの違い口腔内スキャナーやCTを活用することで、肉眼や従来のレントゲンでは見えにくい小さな虫歯や歯のヒビ、歯ぐきの奥の状態まで3D画像で正確に確認できます。
これにより、見逃しのない診断と精密な治療計画が可能となり、被せ物や詰め物の適合性、歯ぐきとの調和、自然で美しい仕上がりを追求できるのが大きな利点です。 -
FEATURE
02
精密設計で実現する
自然な仕上がりデジタル機器で歯の形を正確にスキャンし、コンピューター上で補綴物を設計します。
CAD/CAMシステムにより材料を精密に削り出すことで、高いフィット感と自然な見た目を実現。
ズレや隙間が少ないため、むし歯の再発リスクも抑えられます。 -
FEATURE
03
シミュレーションで
安心して治療が受けられるシミュレーション画像や動画で治療後の歯並びや形を事前に確認できます。
仕上がりを患者様と共有できるため、不安を減らし、納得して治療に進めることができます。
治療結果を予測できるので、従来のような先の見えない不安を感じずに進められます。
PICK UP
高度な技術を持つ歯科技工所との
密な連携
当院では、京都府長岡京市にある 歯科技工所「株式会社S.T.F」 と連携し、審美歯科やインプラント治療を行っています。
審美歯科やインプラント治療では、見た目の自然さや噛み心地の良さを実現するために、人工の歯(補綴物)の精密さがとても重要です。
S.T.Fは高度な技術力を持つ歯科技工所で、患者様一人ひとりの歯の形や色、噛み合わせに合わせた オーダーメイドの人工歯を製作しています。
この連携により、当院では単に「白く美しい歯」をつくるだけでなく、自然な見た目と快適な噛み心地を兼ね備えた治療をご提供することができます。




審美歯科は、歯科医師の美的センスと精密な技術力が最も試される分野です。
当院では、歯の色や形だけでなく、歯ぐきのラインや笑顔全体のバランスまで考慮し、
自然で美しい仕上がりを目指しています。
さらに、専属の歯科技工所と緊密に連携することで、1本の歯であっても周囲に馴染むよう徹底的に追求。
既製品ではなく、患者様一人ひとりに合わせたオーダーメイドの口元を実現します。
SELECT 要望や症状から治療を選択
-
銀歯が気になる
保険治療で装着した銀歯が気になるというご相談は、数多く寄せられます。
とくに笑ったときやお口を大きく開けたときに見える金属は、見た目の印象に大きく影響します。推奨治療
ジルコニアインレー・クラウン
当院では、金属を使用しないオールセラミックやジルコニアの治療をおすすめしています。
これらの素材は、自然な白さと高い耐久性を兼ね備えているため、長期間にわたり安心してご使用いただけます。
さらに、金属アレルギーの心配がなく、身体にやさしい点も大きな魅力です。 -
前歯の色が他の歯と違う
虫歯治療後のレジンや被せ物の色が周囲の歯と合っていない、あるいは経年変化で変色してきた――
特に前歯は目立つ部分のため、色調や透明感、形のバランスを丁寧に整える高度な調整が求められます。推奨治療
ラミネートべニア
当院では、1本ごとの歯の色味や光の透け方まで考慮し、自然な調和を再現するセラミック治療をご提案しています。
さらに、歯全体の変色が気になる場合には、先にホワイトニングを行い、その後に補綴物の色を合わせることで、より美しくご満足いただける仕上がりを実現します。 -
歯並びにコンプレックスがある
前歯の角度が気になる、笑ったときに八重歯が気になる、全体的に歯並びを整えたい――
こうした審美的な歯列のお悩みには、矯正治療と審美補綴治療のどちらが適しているかを見極めご提案させていただきます。推奨治療
セラミック矯正
マウスピース矯正(Sure Smile)
補綴と部分矯正の併用
当院では、できるだけ歯を削らずに行えるマウスピース矯正を基本の選択肢としながら、治療期間やご予算、ご希望に応じて、短期間で歯並びを整えられるセラミック矯正もご提案しています。
たとえば「上の前歯だけを目立たなくしたい」「すぐ歯並びを整えたい」といった場合には、セラミック治療で歯の形・色・向きのすべてを同時に改善することが可能です。 -
歯の黄ばみ・くすみが気になる
歯の黄ばみや歯のくすみなど、年齢とともに増えてくる色の悩みには、
本来の歯の白さを取り戻すための治療が効果的です。推奨治療
オフィスホワイトニング
ホームホワイトニング
当院では、短期間で効果を実感できる オフィスホワイトニングと、ご自宅でじっくり進められるホームホワイトニングを組み合わせたデュアルホワイトニングもご用意しています。
詳しくはこちら
目的やライフスタイルに合わせて、最適な方法をご提案いたします。
CERAMICS セラミック治療で使用する材質
審美治療で使用する白い素材にはいくつかの種類があり、それぞれ性質や費用が異なります。
当院では、見た目の美しさだけでなく、治療部位や目的に合わせて最適な素材を提案しています。
ジルコニア
ジルコニアは人工ダイヤモンドにも使われる非常に硬いセラミック素材で、強度と耐久性に優れているのが最大の特長です。
透明感はオールセラミックに比べてやや劣るものの、見た目の美しさと強さを両立できるため、
審美性と機能性のバランスに優れた素材として広く使用されています。
ポーセレンフルジルコニア
ジルコニアとオールセラミック、それぞれの長所を融合させた素材が「ポーセレンフルジルコニア」です。
| 適している部位 |
・噛む力が強くかかる奥歯 ・ブリッジの支台歯 ・強度を重視したい前歯 |
|---|---|
| メリット |
・非常に丈夫で割れにくく長持ちする ・金属を使用しないため、金属アレルギーや歯ぐきの黒ずみのリスクがない ・耐摩耗性が高く、日常的な強い噛みしめにも対応できる |
| デメリット |
・オールセラミックに比べて透明感がやや劣る ・前歯の見た目を最優先したい場合には不向きなことがある |

オールセラミック
オールセラミックは、金属を一切使用せず、すべてセラミックで作られた修復物です。
天然歯に近い透明感と色合いを再現できるため、非常に審美性が高く、光を自然に透過する性質から周囲の歯に馴染みやすいのが大きな特長です。
そのため、自然な仕上がりを求める方に適した治療法といえます。
| 適している部位 |
・銀歯(自然な見た目に変えたい部分) ・前歯(見た目が最も重視される部分) ・奥歯でも強い力がかかりにくい部位 |
|---|---|
| メリット |
・自然な白さと透明感で周囲の歯と馴染みやすい ・金属を使わないため、金属アレルギーや歯ぐきの変色リスクがない ・プラーク(歯垢)が付きにくく、清潔を保ちやすい |
| デメリット |
・保険が適用されず費用が高い ・金属を使わないため強度がやや劣り、強い力で割れることがある ・場合によっては歯を削る量が多くなることがある |

CASES 治療例
-
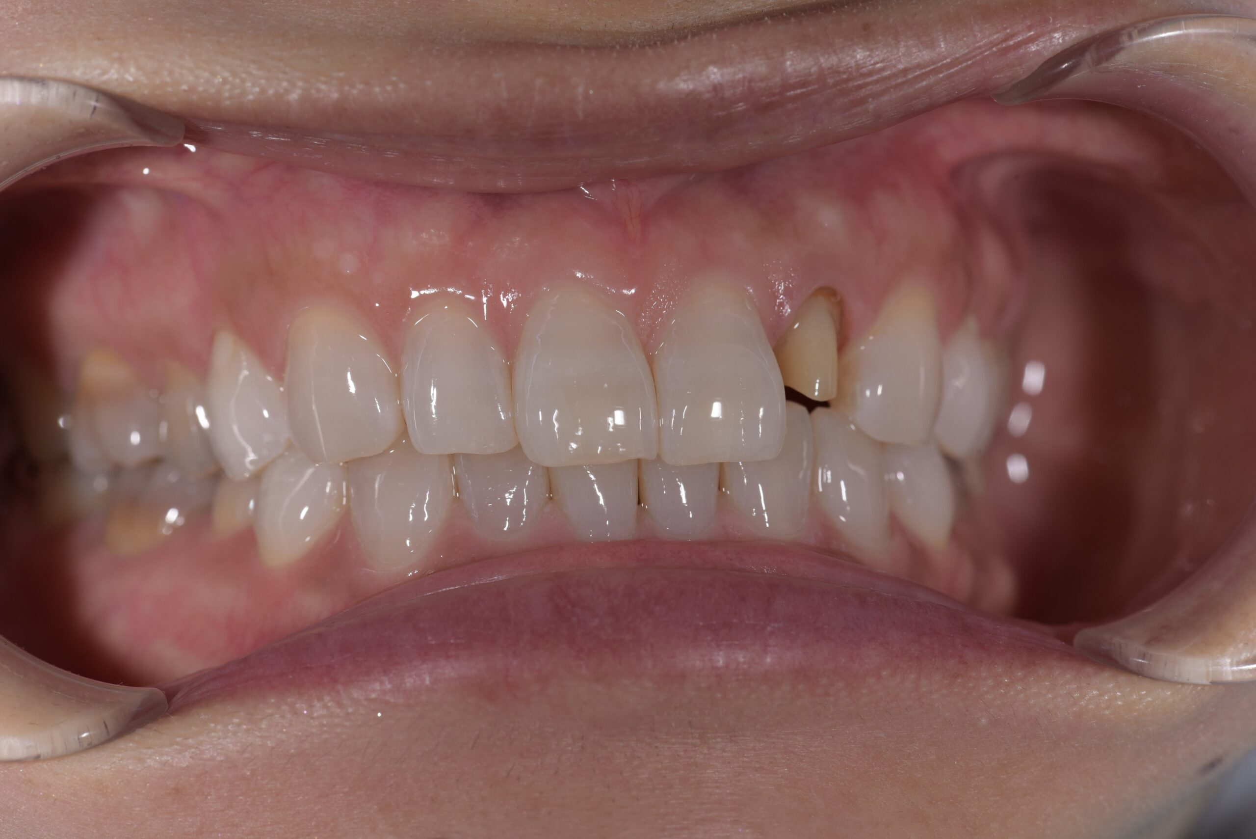
左上前歯ポーセレンフルジルコニア症例
主訴 保険で入れた差し歯の変色が気になるのできれいにしたい(女性) 治療内容 左上の前歯(2番目の歯)を以前に保険治療されましたが、周囲の歯と比べると色味が気になるとの事でファイバーコア+ポーセレンフルジルコニアにて治療をしています。
治療期間 約1ヶ月
費用 総額 ¥155,000–(税別) リスクと副作用 天然歯に比べると強い力を加えたときに欠けたり割れたりする可能性がある
-
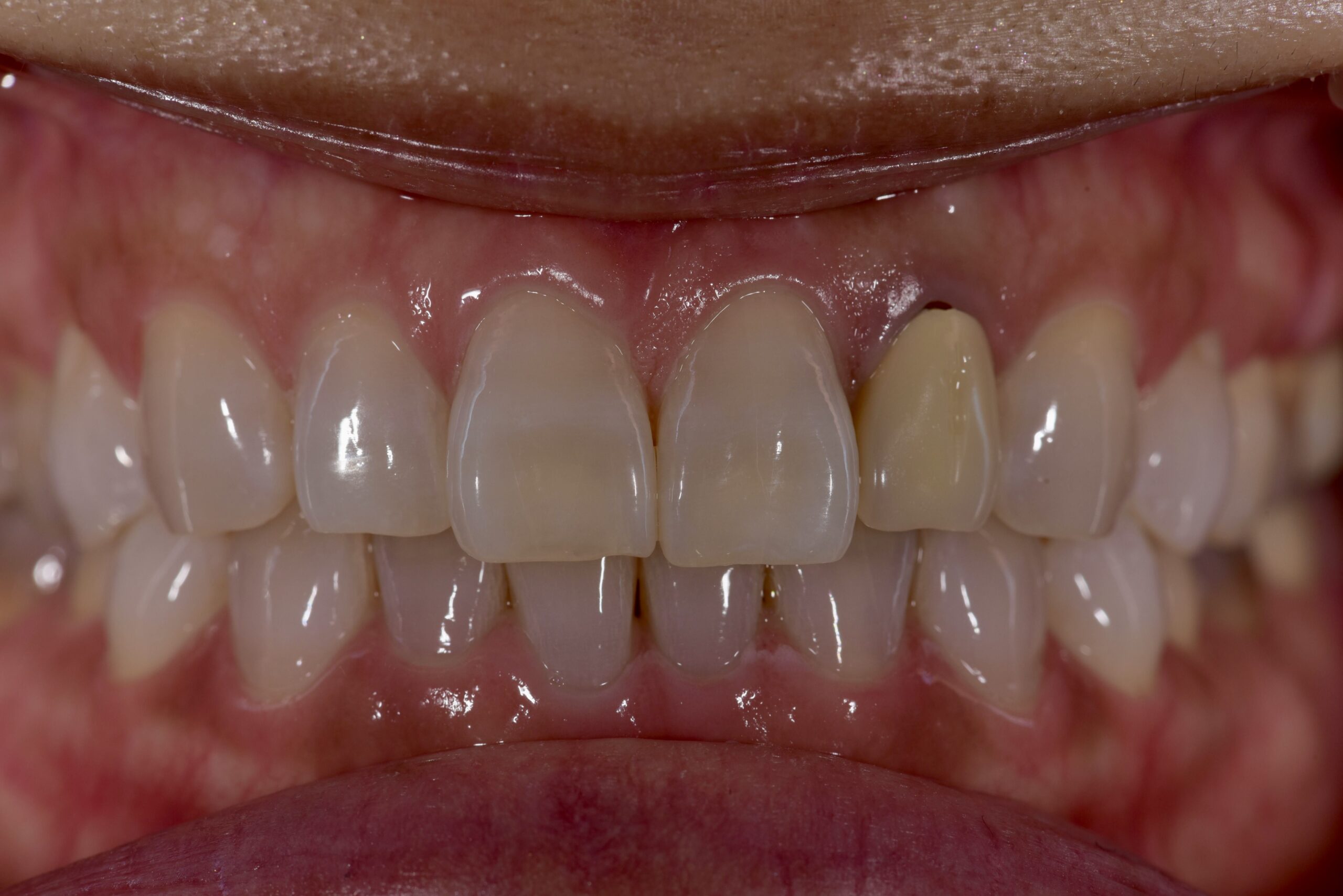
左上前歯ポーセレンフルジルコニア症例
主訴 転倒により前歯が折れてしまったのできれいにしたい(女性) 治療内容 左上の1番前の前歯が転倒により歯の1/3破折で受診され、外傷のため痛みが出ないか約1ヶ月ほど経過観察後にポーセレンフルジルコニアにて治療をしています。 治療期間 約2ヶ月半 費用 総額 ¥150,000–(税別) リスクと副作用 天然しに比べると強い力を加えたときに欠けたり割れたりする可能性がある -
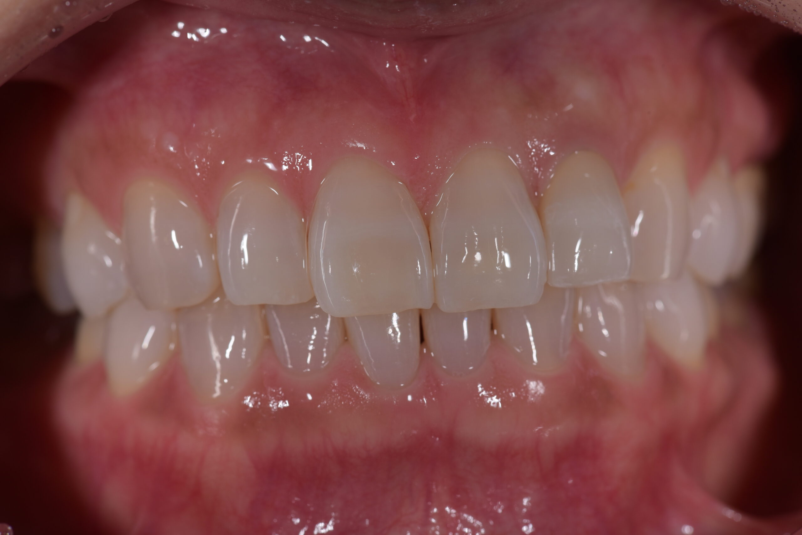
左上前歯ポーセレンフルジルコニア症例
主訴 神経をとった左上の前歯をきれいにしたい(女性) 治療内容 左上の1番前の前歯を以前に神経治療され、保険で治療されましたが周囲の歯と比べると色味が気になるとの事でファイバーコア+ポーセレンフルジルコニアにて治療しています。 治療期間 約1ヶ月 費用 総額 ¥155,000–(税別) リスクと副作用 天然歯に比べると強い力を加えたときに欠けたり割れたりする可能性がある
COST 治療費用
| ジルコニア・セラミック インレー | ¥50,000~ |
|---|---|
| ジルコニア・セラミック クラウン | ¥100,000~ |
| ポーセレンフルジルコニア | ¥150,000~ |
| ラミネートベニア | ¥100,000~ |
※上記は税別価格になります。