無料カウンセリング実施中!
経験と実績に裏打ちされた、
安心の
デジタルインプラント治療
-
安心・正確な
インプラント治療
サージカルガイド導入 -
世界基準のインプラント
バイオホライズン使用 -
市外からも来院多数
-
デンタルローン・
クレジットカード払い対応

DENTAL IMPLANT インプラント治療とは
インプラント治療とは、歯を失った部分に人工の歯根(インプラント体)を埋め込み、その上に人工の歯を装着する治療法です。
従来の入れ歯やブリッジと違い、周囲の健康な歯を削る必要がなく、見た目や噛み心地が自分の歯に近いのが大きな特徴です。
COMPARISON インプラントと従来の治療法との比較
| 治療名 |
インプラント
|
ブリッジ
|
入れ歯
|
|---|---|---|---|
| 審美性 |
◎ |
◎~✕ (選ぶ材料によって異なる) |
△~✕ (選ぶ材料によって異なる) |
|
周りの歯への 影響 |
周囲の歯への影響がない |
・両隣の歯を削る必要がある ・両隣の歯に大きな負担がかかる ・歯根がないため、歯の周囲の骨に負担がかかる ・汚れがたまりやすく、二次的に虫歯になったり歯周病へのリスクが高い |
・金属の留め具(クラスプ)かける歯に大きな負担がかかる ・歯だけでなく粘膜にも負担がかかり、歯ぐきにも違和感がある |
| 咬む力 | 天然歯とほぼ同じような咀嚼力 | 天然歯とほぼ同じような咀嚼力 | 固いものや粘りのあるものは咬みにくい |
| 寿命 |
15年以上 適切なメンテナンスで20年以上持つ例も多い |
7~15年 支えの歯の状態により短くなることもある |
5~7年 歯ぐきや骨の変化で作り直しが必要になる |
|
治療期間の 目安 |
4~9ヶ月 | 1~2ヶ月 | 1~2ヶ月 |
| 費用 | 1本 約35万円~ | 1本 約2~3万円 | 1本 ~1万円 |
※費用は1本あたりのおおよその目安となります。実際の金額は、治療本数や治療内容によって異なります。
FEATURES 当院のインプラントの特徴
-
FEATURE
01
患者様の負担を減らす、
安心・安全の
「デジタルインプラント」近年のデジタル技術の進歩は、私たちの生活だけでなく歯科医療の分野にも大きな変化をもたらしています。
治療のスピード、正確性、安全性は飛躍的に向上し、より安心して治療を受けていただけるようになりました。
「デジタルインプラント」とは、3次元CT画像をもとに埋入位置を精密にシミュレーションし、その計画通りに手術を行うためのサージカルガイドをCAD/CAM技術で作製するシステムです。これにより、シミュレーション通りの位置にインプラントを正確に埋め込むことが可能になります。
この方法を用いることで、治療の精度と安全性が格段に高まり、手術時間も大幅に短縮。結果として、患者様の心身への負担を軽減することにつながります。さらに、骨の状態が良い場合には歯ぐきを切開せずに埋入できたり、手術当日に仮歯を装着できるケースもあります。
当院では、患者様に少しでも快適にインプラント治療を受けていただくために、すべてのインプラント治療にデジタルインプラントシステムを導入しています。 -

FEATURE
02
世界基準の
バイオホライズン・アストラ
インプラントアメリカ・バイオホライズン社が開発した レーザーロックインプラント を採用しています。
バイオホライズンインプラントは20年以上の実績を持つ信頼性の高いシステムで、世界的にも広く使用されています。
最大の特長は、インプラント表面に施された「レーザーロック」と呼ばれる特殊な処理です。これにより、インプラントは骨との結合が非常に強固になるだけでなく、歯ぐき(軟組織)にも安定して定着します。そのため、長期的な安定性と審美性の維持に大きく貢献します。 -

FEATURE
03
デジタル技工と連携
当院のインプラント治療は、京都府長岡京市にある歯科技工所「株式会社S.T.F」 と密に連携しながら進めています。
インプラント治療では、人工の歯(上部構造)の見た目や噛み心地がとても重要です。S.T.Fは、長年の経験と高度な技術を持つ歯科技工所であり、患者様一人ひとりの口腔状態に合わせて、色・形・噛み合わせを精密に再現した人工歯をオーダーメイドで製作できます。
この連携により、当院では単に「噛める歯」を取り戻すだけでなく、自然な見た目と快適な機能を兼ね備えたインプラント治療を提供することが可能です。 -

FEATURE
04
丁寧なカウンセリング
カウンセリングをとても大切にしています。
インプラントは外科的な処置を伴うため、患者様にとって不安や疑問が多い治療のひとつです。そのため、私たちはまずしっかりとお話を伺い、現在のお口の状態、治療の選択肢、メリットやデメリット、治療後の生活まで、わかりやすく丁寧にご説明いたします。
また、CT画像や模型、シミュレーションを用いたご説明により、治療の流れやゴールをイメージしやすいよう工夫しています。十分にご理解・ご納得いただいたうえで治療を進めることで、患者様に安心してインプラント治療を受けていただけると考えています。 -

FEATURE
05
難症例にも対応できる
高い専門性安全で確実なインプラント治療を行うために、常に最新の知識と技術の習得に努めています。
学会や講習会、講演会、勉強会へ積極的に参加し、国内外の最新情報を取り入れるとともに、論文発表を通じて専門的な研究にも取り組んでいます。
また、オペの術式に関しても数多くの研修やトレーニングを重ねており、難症例にも対応できる高い技術力を培っています。
こうした日々の研鑽を通じて、患者様により安心・安全で質の高い治療をご提供できるよう努めています。 -

FEATURE
06
感染症対策
安心して治療を受けていただけるよう、徹底した感染症対策を実施しています。治療器具は使い捨てを基本とし、ドリルなども患者様ごとに交換・滅菌を行っています。
診療前のうがいや、使い捨てのエプロン・コップの使用に加え、スタッフはマスク・グローブ・ゴーグルを着用し、グローブも必ず患者様ごとに交換しています。
また、診療台や操作パネルは都度消毒し、空気清浄機の稼働や定期的な換気、水消毒システムの導入により、院内全体で清潔な環境を維持しています。 -

FEATURE
07
明瞭会計
インプラント治療は高額になることが多いため、当院では事前に治療内容と費用をしっかりご説明し、ご納得いただいてから治療を開始 しています。治療途中で「思ったより費用がかかった」ということがないよう、常に明瞭会計を心がけています。
また、費用のお支払いについても安心してご利用いただけるよう、デンタルローンや各種クレジットカード払いに対応しております。
患者様に無理のない形で治療を受けていただけるよう、わかりやすいご案内と柔軟なお支払い方法をご用意しています。
FLOW
サージカルガイドを使った
インプラント治療の流れ
-
STEP
01
CT撮影/口腔内スキャン
CTスキャンや口腔内スキャナーを用いて詳細なデータを取得します。
この検査によって歯や顎の骨の状態、神経や血管の位置まで正確に確認し、インプラントを埋め込むのに最も適した位置を綿密に決定します。
-
STEP
02
3Dシミュレーションによる
治療計画取得したデータをもとに、3Dシミュレーションソフトを用いてインプラントの埋入位置や角度を詳細に設計します。この段階では、インプラントをどの角度で埋入するか、周囲の歯や骨とのバランス、神経や血管との距離などを細かく検討し、最も安全で機能的な治療計画を立てます。
こうした綿密なシミュレーションにより、より正確で安心できるインプラント治療が可能になります。
-
STEP
03
サージカルガイドの
設計&3Dプリント3Dシミュレーションで得られたデータをもとに、患者様ごとに最適化されたサージカルガイドを設計し、3Dプリンターで精密に作製します。このガイドにはドリルを正確に誘導するための穴が組み込まれており、計画通りの位置にインプラントをズレなく埋入できる仕組みになっています。

-
STEP
04
サージカルガイドの適合チェック
完成したサージカルガイドは、手術前に患者様のお口の中で装着し、フィット感や精度を丁寧に確認します。歯や歯ぐきにしっかり適合しているか、ドリルの誘導穴が正確な位置にあるかをチェックし、必要に応じて微調整を行うことで、手術に最適な状態へと仕上げます。

-
STEP
05
インプラント手術へ
サージカルガイドを使うことで、コンピュータで設計した位置に高い精度でインプラントを埋入することが出来ます。インプラント手術後は骨とインプラントがくっつくまで数ヶ月待ち、その後に上部構造の製作へ移ります。インプラントの上に人工の歯を製作するための光学スキャンを行い、人工歯を製作し装着して治療が完了となります。治療後は3ヶ月に一度のペースでメインテナンスを受けていただきます。

CASES 治療例
-
インプラントオーバーデンチャー症例
主訴 しっかり噛んで美味しいものを食べたい(男性) 治療内容 保存不可能な歯を抜歯後、2本のインプラントを埋入。
インプラントのアタッチメントと入れ歯の留め具とで凹凸接続し、動かない快適な入れ歯を装着しています。治療期間 約4ヶ月 費用 総額 ¥880,000–(税込) リスクと副作用 ・外科治療となるので、お身体の状態によっては受けれない場合がある(広範囲に適用可能な治療ですが、個々の患者様の状況によって適用外な場合もある)
・術後に多少の痛みや腫れが出ることがある
-
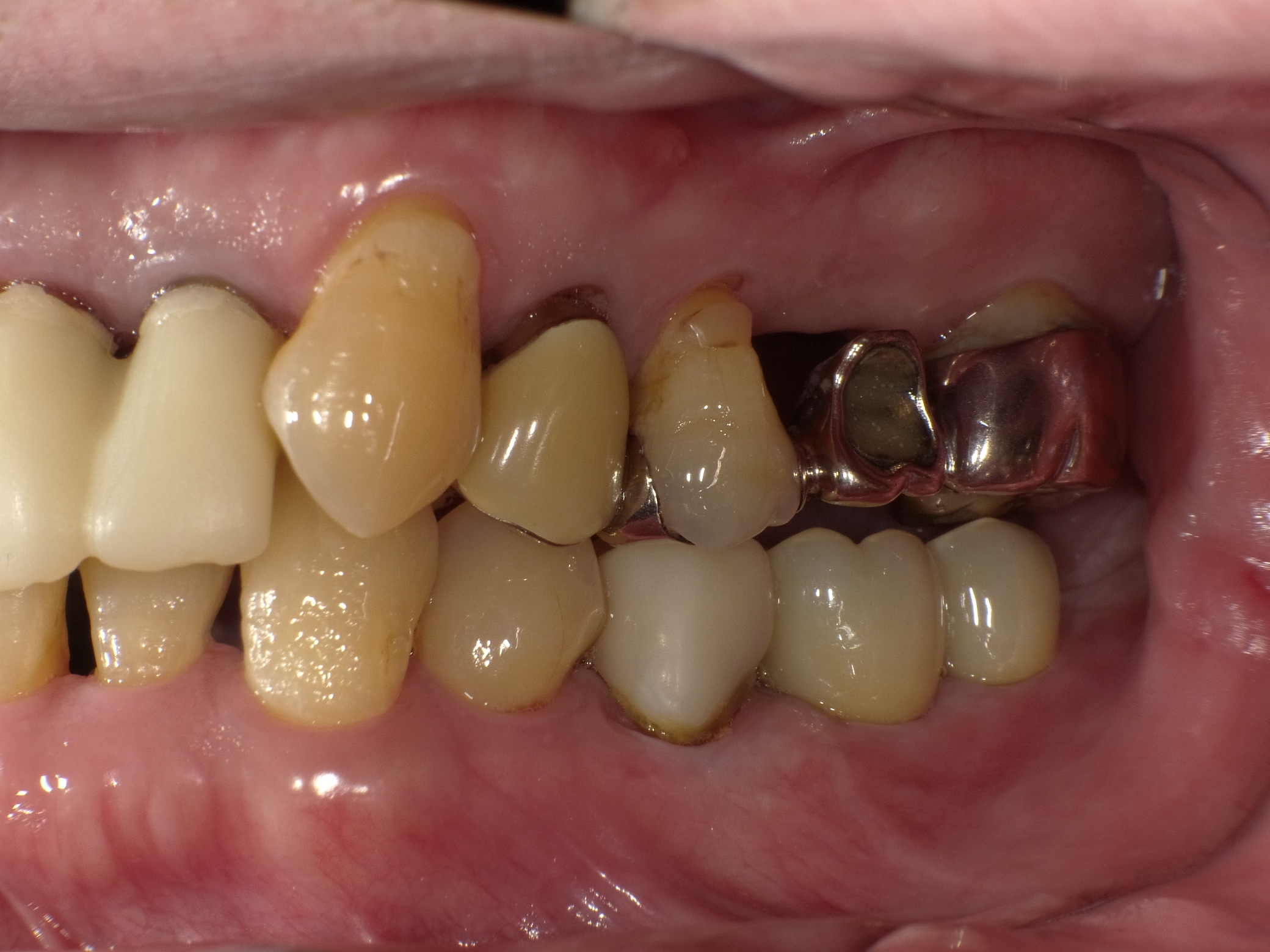
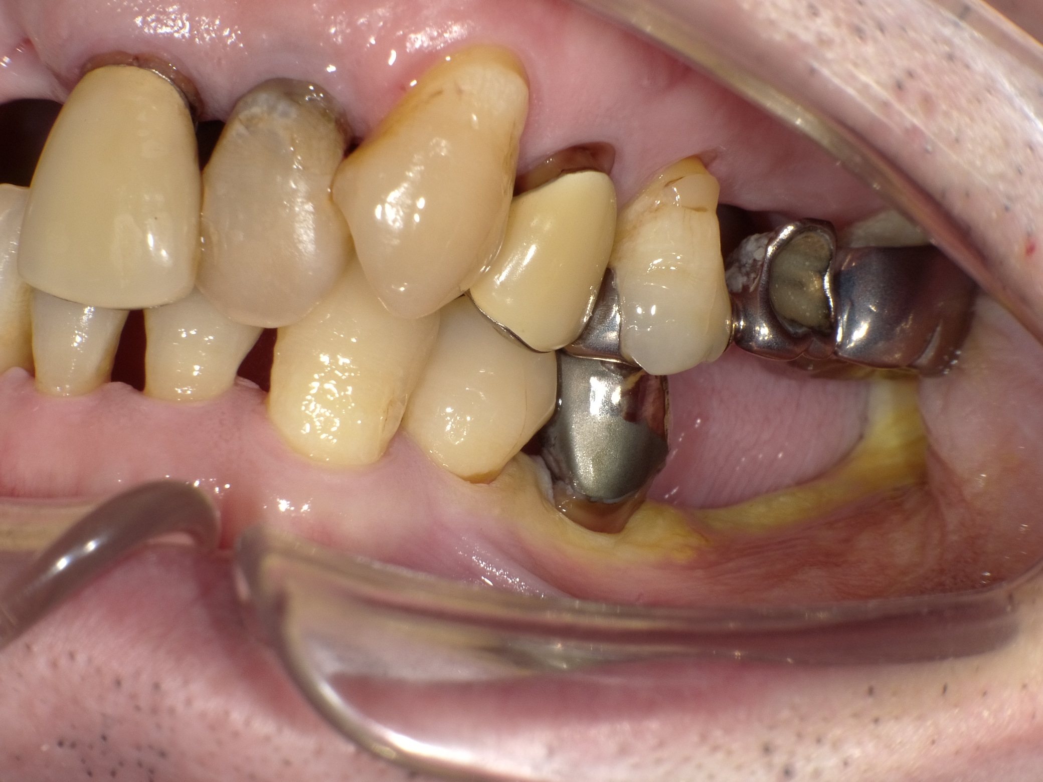
左下2本インプラント症例
主訴 奥歯でしっかり咬めるようにしたい(男性) 治療内容 左下の奥歯2本をインプラントにて治療しています。プラマRFインプラントを埋入。
手術後3ヶ月待ち、骨とインプラントが固まったことを確認し、二次手術後に型取りを行っています。当院では、ほとんどの症例でデジタルでの型取りを行っています。
インプラントを埋入した部位に型取り用のパーツをはめ、3Dスキャナーにて型取りをし、ジルコニアクラウンの被せ物を作製しています。完成後の咬合面は状態を確認後、埋めていきます。
治療期間 約4ヶ月
費用 総額 ¥700,000-(税別) リスクと副作用 ・外科治療となるので、お身体の状態によっては受けれない場合がある(広範囲に適用可能な治療ですが、個々の患者様の状況によって適用外な場合もある)
・術後に多少の痛みや腫れが出ることがある -
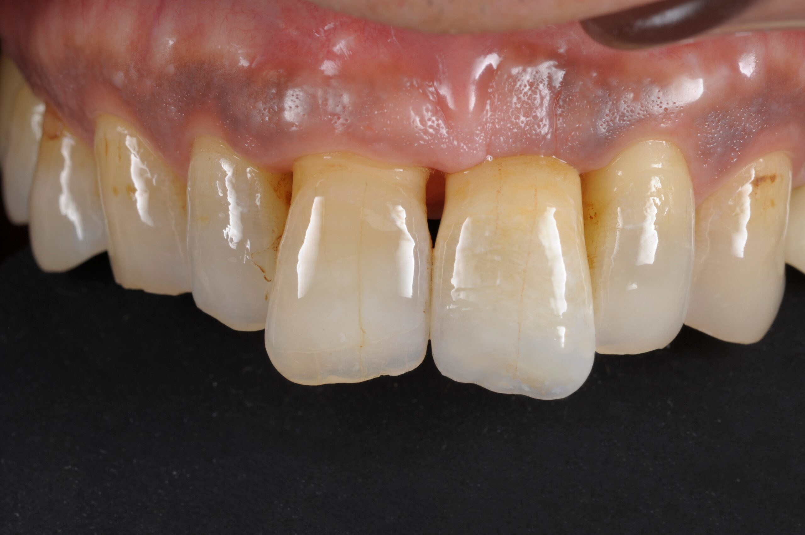
前歯インプラント症例
主訴 歯を入れたい(男性) 治療内容 1本インプラントの一般的な治療過程です。 プラマRFインプラントを埋入。
手術後3ヶ月待ち、骨とインプラントが固まったことを確認し、二次手術後に型取りを行っています。当院では、ほとんどの症例でデジタルでの型取りを行っています。
インプラントを埋入した部位に型取り用のパーツをはめ、3Dスキャナーにて型取りをし、ジルコニアクラウンの被せ物を作製しています。ご自身の歯と変わらないような仕上がりとなっています。
治療期間 約6ヶ月 費用 総額 ¥350,000-(税別) リスクと副作用 ・外科治療となるので、お身体の状態によっては受けれない場合がある(広範囲に適用可能な治療ですが、個々の患者様の状況によって適用外な場合もある)
・術後に多少の痛みや腫れが出ることがある
COST インプラントの費用
| サージカルステント | ¥50,000~ |
|---|---|
| インプラント埋入 | ¥200,000 |
| 特殊手術 | ¥50,000~ |
| プロピショナルレストレーション | ¥50,000~ |
| 上部構造(土台・冠) | ¥150,000~ |
※上記は税別価格になります。