審美歯科のプロがおこなう
ホワイトニング
-
オフィスホワイトニング3回コース
定価¥60,000
¥50,000
-
オフィスホワイトニング3回+ホームホワイトニング
定価¥80,000
¥65,000

「即効性」と「持続性」の
両方を兼ね備えた
オフィスホワイトニングと
ホームホワイトニングの
併用がおすすめ!
FEATURES 当院のホワイトニングの特徴
-
POINT
01
歯科医院でしかできない
ホワイトニング本当に歯を白くするには、表面の汚れを落とすだけでは不十分!歯そのものを漂白する必要があります。
この「漂白によるホワイトニング」は医療行為にあたるため、歯科医院でしか受けることができません。 -
POINT
02
オフィスホワイトニング剤
これまで多くのホワイトニングシステムを導入・検証してきましたが、最も効果と安全性に優れ、当院が自信を持っておすすめできるのが 「ビヨンドシステム」 です。
アメリカから直接ホワイトニング剤を輸入しているため、国産のホワイトニング剤と比較するとホワイトニング効果がですいです。1回の施術でも効果は実感できますが、より安定した白さを得るためには 1週間ごとに3回程度の施術を推奨しています。 -
POINT
03
「安全性」+「高い効果」+
「専門的なサポート」当院でのホワイトニングは、口腔内を診断したうえで安全に行えるだけでなく、高濃度薬剤による高い効果と持続性が期待できます。状況に応じて、一人ひとりに合わせた審美相談も可能です。もしものトラブル時もその場で対応できる安心感があり、アフターケアまで専門的にサポートを受けられる点が大きなメリットです。
DIFFERENCE 歯科医院とエステのホワイトニングの違い
歯を本当に漂白して白くできるのは
歯科医院だけです。
エステは着色落としに近い
ケア程度になります。
| 歯科医院でのホワイトニング |
民間での歯のエステ (セルフホワイトニングサロンなど) |
|
|---|---|---|
| 施術者 | 歯科医師・歯科衛生士など有資格者 | 無資格スタッフ(本人がセルフで行う形式が多い) |
| 使用薬剤 | 過酸化水素や過酸化尿素など、歯を漂白できる高濃度薬剤(医療用) | 過酸化水素を含まない化粧品扱いのジェルや溶液 |
| 効果 | 歯の内部の色素を分解するため、本来の歯そのものを白くできる | 歯の表面の汚れや着色を分解・コーティングするだけ→ 漂白効果はない |
| 安全性 | 事前に虫歯や歯周病を診断し、歯肉保護などを行うので安心 | 医療行為ではないため、虫歯や歯周病など口腔内トラブルのチェックはされない |
| 持続性 | 効果が長持ちしやすい | 汚れが落ちた分の一時的な白さにとどまりやすい |
SUMMARY まとめ
歯科医院のホワイトニング → 医療用薬剤を使って「歯を内側から白くできる」
民間エステのホワイトニング → 「汚れ落としが中心」で、一時的な見た目改善にとどまる

WHITENING オフィスホワイトニング
院内で行うホワイトニングです。
家庭で行うホームホワイトニングよりも強い薬液を使うので、1回でもホワイトニング効果があります。
当院で導入しているホワイトニングシステムは、歯科医院でのみ取り扱い可能な薬剤を使用した光照射型のホワイトニングです。
高濃度の薬剤と専用の光を組み合わせることで、歯の内部の色素を分解し、1回の施術でも白さを実感しやすい即効性を持っています。
また、光源には紫外線や過度な熱をカットする特殊なフィルターが搭載されており、歯や歯肉への負担を最小限に抑えながら、安全に効果的なホワイトニングを行えるのも大きな特徴です。
短期間にしっかりと効果を得たい方、イベントや大切な場面に向けて歯を白くしたい方にも適した方法になります。

WHITENING ホームホワイトニング
ご自宅で行っていただくタイプのホワイトニングです。
まず歯型を採り、患者さま専用のマウスピースを製作いたします。そのマウスピースにホワイトニング薬剤を入れて歯に装着し、徐々に効果を発揮します。
当院では海外から直輸入した高濃度薬剤を3種類ご用意しており、患者様の生活背景や使用できる時間に合わせて薬剤を選ばせていただいています。そのため、より早い効果を実感いただくことが可能です。

WHITENING オパールエッセンスGo
“簡単・安全” に始められる使い捨てタイプのホームホワイトニングです。即日から始めることが可能です。
薬剤があらかじめ充填された専用トレー(マウスピース)をそのまま歯に装着するだけでホワイトニングが始められるため、型取りやお手入れが不要です。
1回の装着時間は90分程度と短く、テレビを見たり家事をしながら手軽に行えるため、忙しい方にもおすすめです。
FLOW 治療の流れ
オフィスホワイトニング
-
STEP
01
問診票記入・カウンセリング
お悩みや疑問点は、歯科医師や歯科衛生士にご相談ください。
-
STEP
02
口腔環境チェック
ホワイトニングが行える口内環境か、歯科医師や歯科衛生士が確認を行います。
術後に効果を確認できるよう、口腔写真も撮影しておきます。 -
STEP
03
着色除去
歯に汚れがついていると、ホワイトニングの効果が下がるため、
表面のクリーニングを行います。 -
STEP
04
写真撮影
治療開始前に口元の写真を撮り、現在の歯の色を記録します。
-
STEP
05
ホワイトニング開始
ホワイトニング剤を塗り、特殊な光を15分間照射します。合計3セットの施術となります。
-
STEP
06
仕上げ
歯の表面を保護するコーティング剤を使用し、歯をコーティングしていきます。
-
STEP
07
歯の色のチェック
術後に、どれだけ歯が白くなったかを確認し、終了となります。初回の所要時間は約2時間です。
2回目からは約90分 -
STEP
08
アフターケア・メンテンナンス
歯の白さを維持するためのアフターメンテナンスも行なっています。定期的に通院いただくことでより白さを維持することができます。
ホームホワイトニング
-
STEP
01
問診票記入・カウンセリング
お悩みや疑問点は、歯科医師や歯科衛生士にご相談ください。
-
STEP
02
口腔環境チェック
ホワイトニングが行える口内環境か、歯科医師や歯科衛生士が確認を行います。
術後に効果を確認できるよう、口腔写真も撮影しておきます。 -
STEP
03
写真撮影
治療開始前に口元の写真を撮り、現在の歯の色を記録します。
-
STEP
04
マウスピース製作の型取り
マウスピースを作るため、歯並びを型取りします。
-
STEP
05
マウスピース製作
マウスピース製作には約3日掛かります。
-
STEP
06
マウスピースと薬剤のお渡し
完成したマウスピースと専用ジェルをお渡し、自宅でのホワイトニング方法を説明します。
以降は都度ご来院いただき、ジェルを購入いただきます。 -
STEP
07
経過観察
開始から2、3週間後に経過観察のためにご来院ください。歯の白さだけではなく歯の状態等も検査させていただきます。
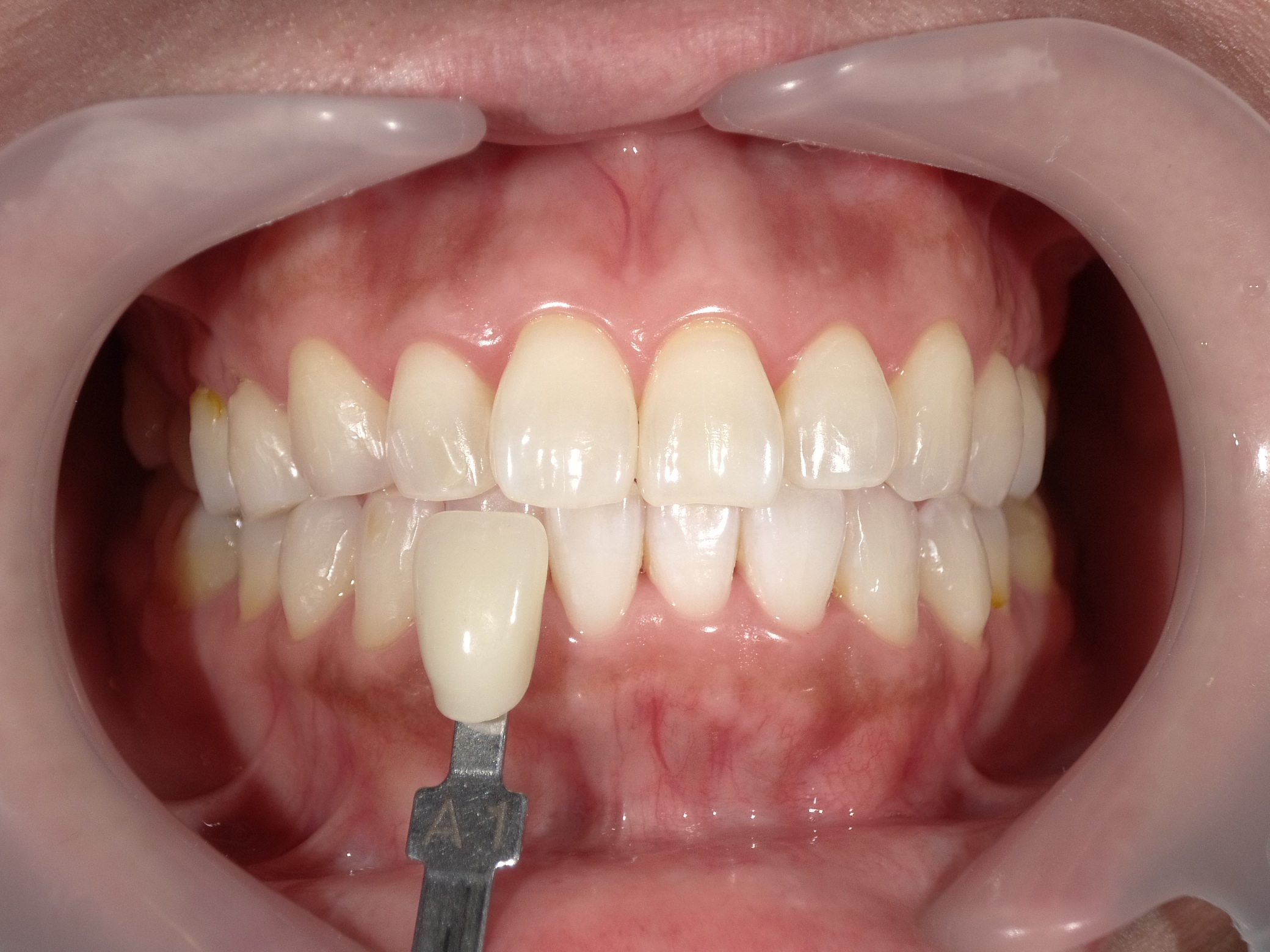
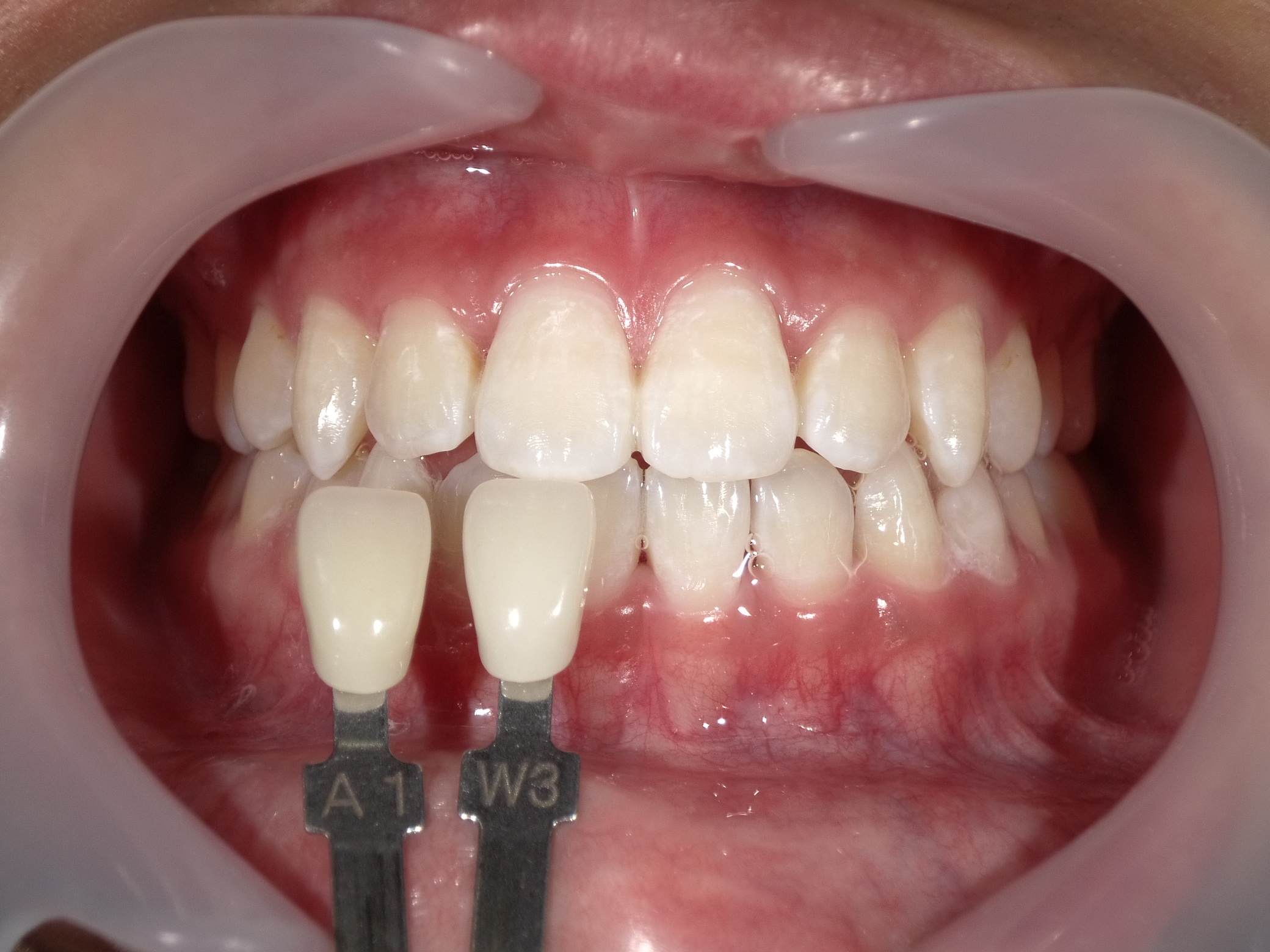
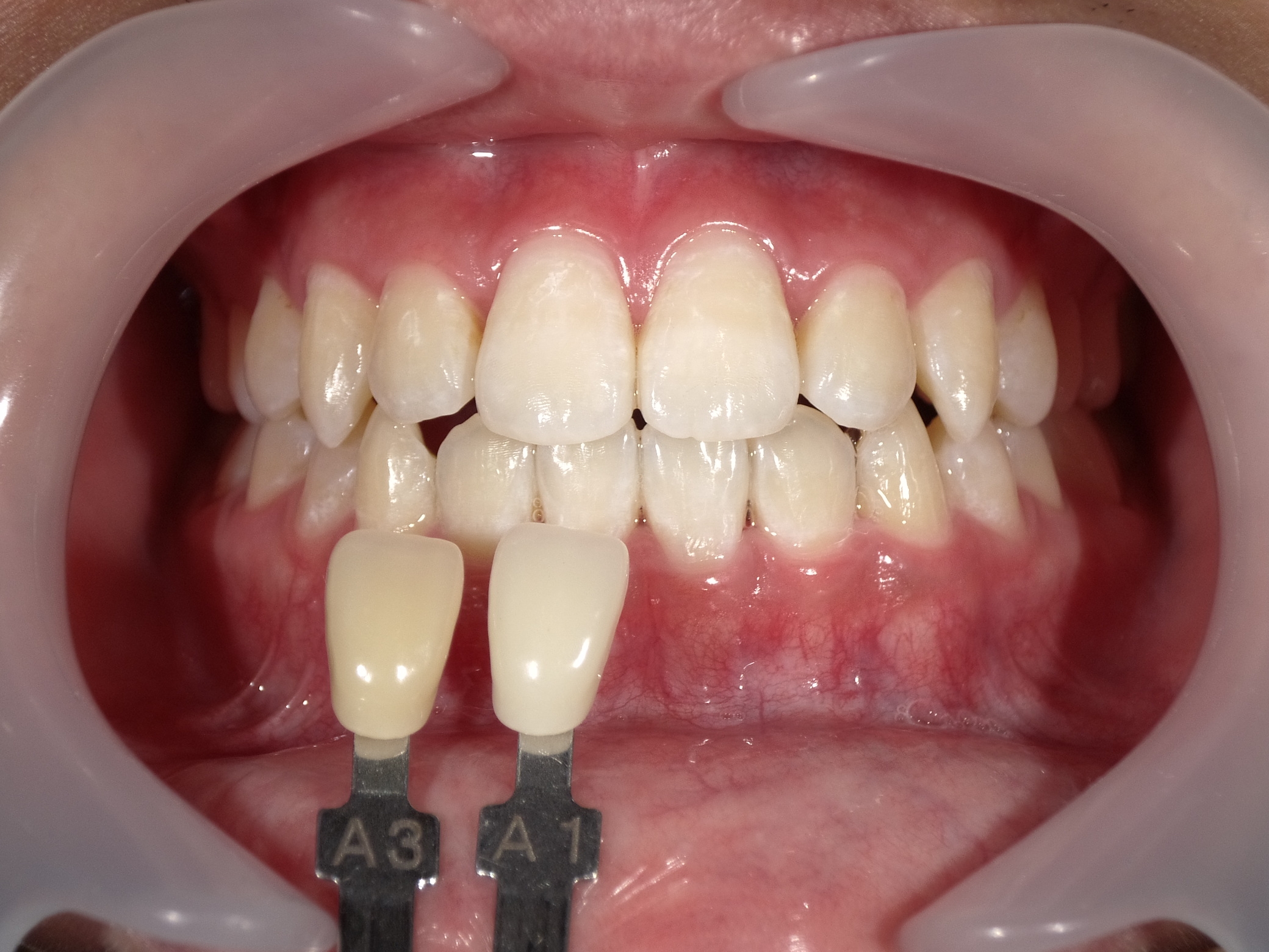
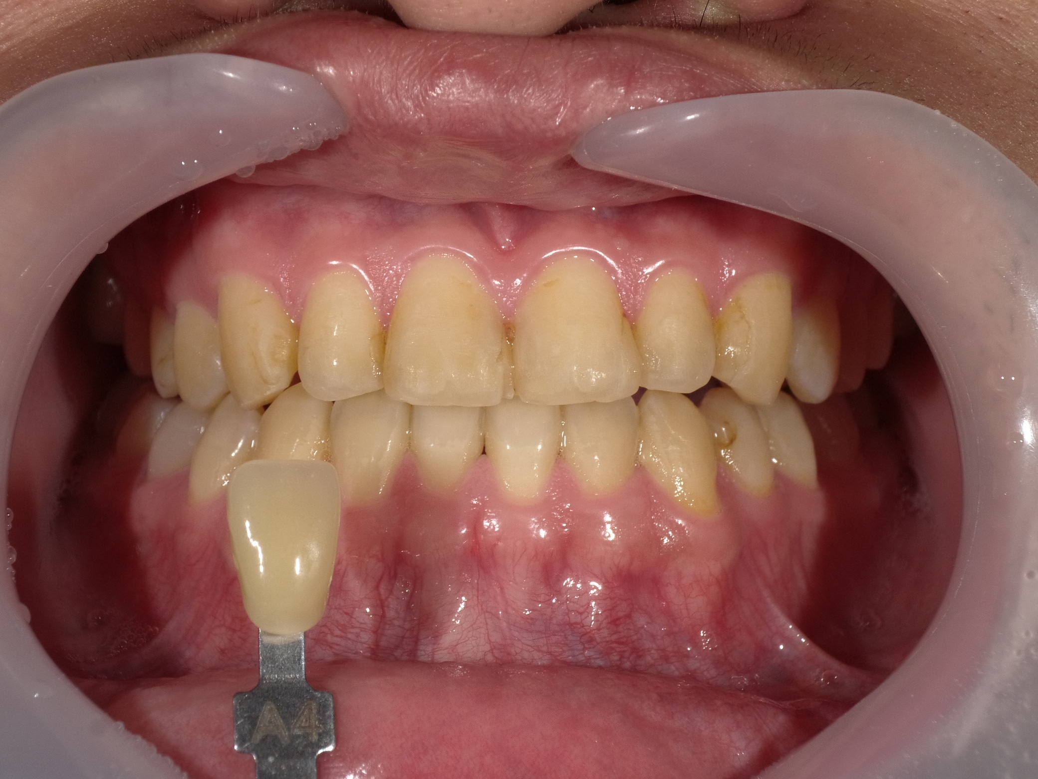
CASES 治療例
-
ホームホワイトニング
主訴 成人式に向けて歯を白くしたい(女性) 治療内容 ホームホワイトニング(22%) 治療期間 約3週間 費用 ¥20,000–(税別) リスクと副作用 ・妊娠の可能性が高い方、妊娠中の方、授乳中の方はできない
・神経のない歯は白くできない
・ホワイトニング後3時間以内は酸性の飲み物は控える
(柑橘系の果物や飲料・炭酸飲料・スポーツドリンク等)
・ホワイトニング後24時間は着色性のあるものは控える(コーヒー・紅茶・カレー・チョコレート等)
・ホワイトニング後は一時的に歯がしみたりすることがある
-
オフィスホワイトニング3回コース
主訴 就職活動前に歯を白くして印象を良くさせたい(男性) 治療内容 オフィスホワイトニング3回コース 治療期間 約1ヶ月 費用 オフィスホワイトニング3回
¥50,000-(税別)リスクと副作用 ・妊娠の可能性が高い方、妊娠中の方、授乳中の方はできない
・神経のない歯は白くできない
・治療後3時間以内は酸性の飲み物は控える
(柑橘系の果物や飲料・炭酸飲料・スポーツドリンク等)
・治療後24時間は着色性のあるものは控える(コーヒー・紅茶・カレー・チョコレート等)
・ホワイトニング後は一時的に歯がしみたりすることがある
・ホワイトニング用のライトを照射することにより、発疹や掻痒感、口腔周囲の粘膜の腫れや痛みを伴う場合がある -
オフィスホワイトニング3回・ホームホワイトニング
主訴 歯を白く綺麗にしたい(女性) 治療内容 オフィスホワイトニング3回+ホームホワイトニング(16%・22%・35%) 治療期間 約1ヶ月
費用 デュアルホワイトニングセット
(オフィスホワイトニング3回+ホームホワイトニング)
¥65,000-(税別)リスクと副作用 ・妊娠の可能性が高い方、妊娠中の方、授乳中の方はできない
・神経のない歯は白くできない
・治療後3時間以内は酸性の飲み物は控える
(柑橘系の果物や飲料・炭酸飲料・スポーツドリンク等)
・治療後24時間は着色性のあるものは控える(コーヒー・紅茶・カレー・チョコレート等)
・ホワイトニング後は一時的に歯がしみたりすることがある
・ホワイトニング用のライトを照射することにより、発疹や掻痒感、口腔周囲の粘膜の腫れや痛みを伴う場合がある
COST 治療費用
| ホームホワイトニング | ¥20,000 |
|---|---|
| オフィスホワイトニング1回 | ¥20,000 |
| オフィスホワイトニング3回コース |
定価¥60,000 |
| オフィスホワイトニング5回コース |
定価¥100,000 |
| オフィス1回+ホームホワイトニング |
定価¥40,000 |
| オフィス3回+ホームホワイトニング |
定価¥80,000 |
| オフィス5回+ホームホワイトニング |
定価¥120,000 |
| オパールエッセンスGo | 1ピース¥2,200、10ピース¥19,800 |
| 追加薬剤(ホームホワイトニング) | 1本¥1,700、2本セット¥3,000 |
| PMTC | ¥5,000~ |
| メラニン色素除去 | ¥15,000~ |
※上記は税別価格になります。
※初回カウンセリングに ¥3,000の費用を頂戴しておりますが、そのままホワイトニングをスタートされる場合は、カウンセリング費用を施術料金に充当させていただきます。
※ホームホワイトニングは、マウスピースと薬剤がセットになります。
※PMTCは、歯科医院で受ける専門的な歯のクリーニングで、虫歯や歯周病予防・口臭予防に効果があるケアになります。
※メラニン色素除去は、歯茎の黒くなっている部分(メラニン色素沈着部分)にレーザーを照射し、本来の色に戻していきます。